Zubne ljuskice
Zubne ljuskice ili veneers predstavljaju vrhunac estetske stomatologije jer uljepšavaju osmijeh bez ikakve preparacije zuba ili uz minimalno brušenje zuba, ovisno koju vrstu zubnih ljuskica izrađujemo. Nije svatko kandidat za ove dentalne protetske nadomjeske, a da biste utvrdili mogu li se kod Vas postaviti, potrebno je doći na pregled.
Dentalna protetika napreduje iz godine u godinu te pruža sve naprednije tehnike i materijale za izradu nadomjestaka za zube, koji istovremeno zadovoljavaju dva osnovna kriterija:
• funkciju
• estetiku.
U Poliklinici Miličić Dent izrađujemo visokokvalitetnu zubnu protetiku u najmodernijem dentalnom laboratoriju. Zubotehničari izrađuju krunice, mostove, proteze ili zubne ljuskice, kako bismo nadomjestili izgubljene zube, osigurali funkcionalnost zagriza te postigli estetiku osmijeha.
Što su zubne ljuskice?
Zubne ljuskice su tanki kompozitni ili keramički listići, tzv. fasete, koje se postavljaju na površinu prednje strane zuba, a koje vrlo efektno mogu promijeniti i uljepšati osmijeh.
Veneers ili keramičke ljuskice otporne su na obojenja zuba koje je posljedica stalne konzumacije: kave, čaja, duhana…
Uglavnom se koriste za prekrivanje prednjih zuba u zoni osmijeha, ali zahvaljujući kvaliteti materijala koji je čvrst i otporan, mogu se postavljati i na stražnje zube.
Njima uspješno možemo korigirati:
• boju zuba
• oblik zuba
• dužinu zuba
• širinu zuba
• razmak između prednjih zuba.
Ako Vam je estetika osmijeha na prvom mjestu, a kandidat ste za zubne ljuskice, preporučit ćemo Vam ih iz više razloga.
Prednosti zubnih ljuskica
○ Dobrim odabirom boje, oblika i veličine zubnih ljuskica možemo postići prirodan izgled zubi.
○ Zubnim ljuskicama postižemo holivudski osmijeh.
○ Istovremeno mogu ispraviti više stvari: boju, oblik, dužinu, širinu te razmak između zuba tzv. dijastemu.
○ Keramičke ljuskice zahtijevaju minimalno brušenje zuba tj. uklanjanje zdravog zubnog tkiva.
○ Non prep ljuskice ne zahtijevaju brušenje zuba, već se samo zalijepe na prednju stranu zuba.
○ Zubne ljuskice dobro prianjaju uz zubno meso te ga ne iritiraju.
○ Ne ostavljaju tamni rub uz zubno meso kao metal-keramičke krunice ili mostovi.
○ Čuvaju strukturu prirodnog zuba.
○ U nekim slučajevima zubne ljuskice su mnogo brža alternativa za sitne nepravilnosti u položaju zuba i
razmak između njih u odnosu na dugotrajnu terapiju ortodontskim aparatićem.
Vrste zubnih ljuskica
Ovisno o načinu preparacije, zubne ljuskice dijelimo na:
• veneers – zubi se minimalno bruse
• lumineers – non prep ljuskice – cementiraju se bez prethodnog brušenja zubi.
Ovisno o vrsti materijala od kojih se izrađuju, zubne ljuskice dijelimo na:
• kompozitne – izrađuju se od kompozita, materijala od kojih se rade bijele plombe (zubni ispuni), izrađuju se u
ordinaciji u jednom posjetu
• keramičke tj. staklo-keramičke – zbog svojstva svjetlopropusnosti nalikuju prirodnoj caklini zuba te
omogućavaju vrhunsku estetiku. Izrađuju se u zubnom laboratoriju na temelju digitalnog otiska zubi, a za
njihovu izradu i postavu na zube potrebna su minimalno dva posjeta.
Da bismo našim pacijentima omogućili dugotrajno rješenje koje će im pružiti vrhunsku estetiku i funkciju, u poliklinici Miličić Dent izrađujemo isključivo keramičke ljuskice.
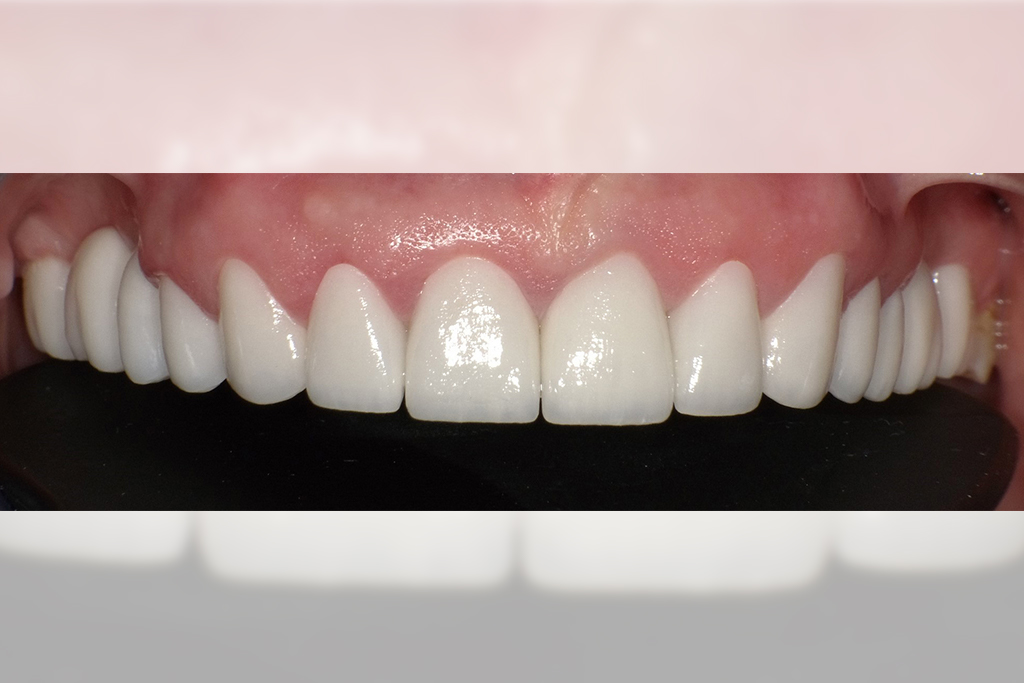
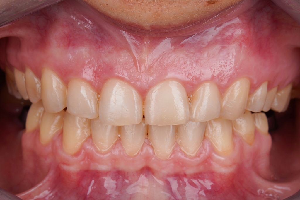
Prije
Poslije
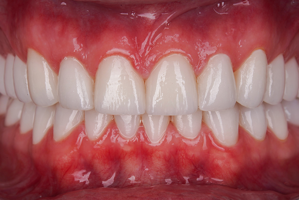
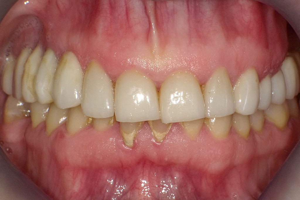
Prije
Poslije
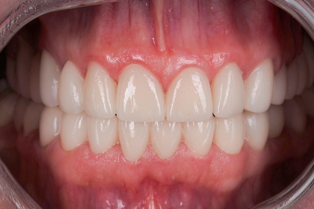
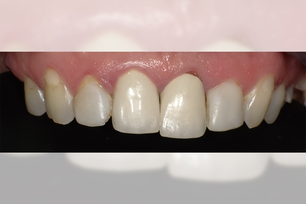
Prije
Poslije
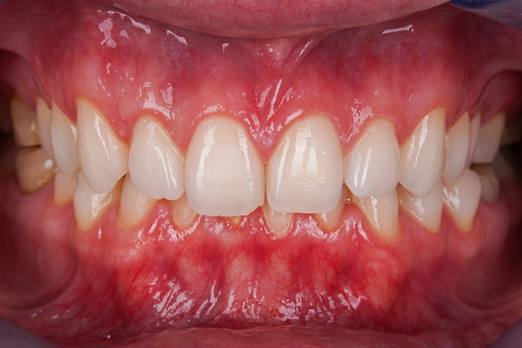
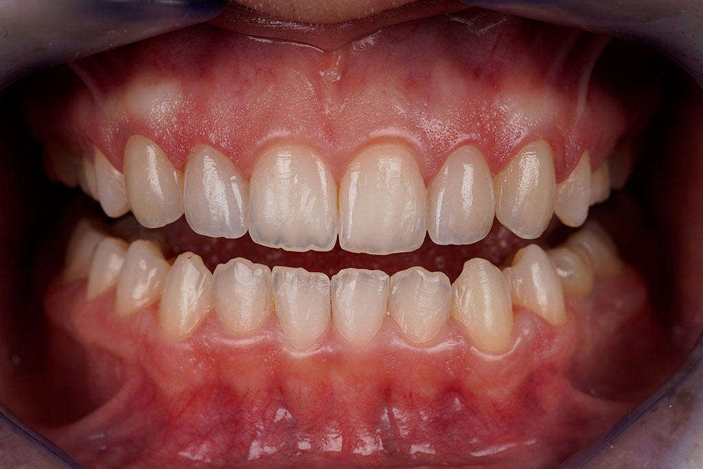
Prije
Poslije
Prije
Poslije
Prije
Poslije
Napomena!
Kompozitne ljuskice nisu trajno rješenje i ne mogu se kvalitetom usporediti s keramičkim ljuskicama jer požute, nisu transparentne, relativno se brzo troše te se znaju odvajati od površine zuba na rubovima.
Protokol
Najčešće su dovoljna samo dva posjeta za izradu i postavljanje keramičkih zubnih ljuskica.
1. Dijagnostika
2. Fotografiranje osmijeha prije tretmana radi medicinske dokumentacije (case study).
3. Lokalna anestezija se primjenjuje kada se izrađuju keramičke zubne ljuskice.
Anestezija se ne koristi u slučaju non-prep ljuskica jer ne trebamo brusiti zube.
4. Skidamo do 0,5 mm zubne cakline. Minimalno brusimo zube u odnosu na izradu
zubnih krunica.
5. Uzimanje otisaka.
6. Otisak se šalje u laboratorij.
7. Izrada privremenih ljuskica radi estetike osmijeha i zaštite brušenih zuba. Naime,
brušeni zubi reagiraju na toplo i hladno, što je uobičajena reakcija zbog skidanja
površinskog sloja cakline.
8. Proba ljuskica.
9. Apliciranje ljuskica na zube specijalnim cementima.
10. Fotografiranje osmijeha nakon tretmana (case study).
Boli li brušenje zuba za zubne ljuskice?
Zahvat je bezbolan jer se u slučaju izrade keramičkih ljuskica zubi samo površinski bruse i to minimalno, a sve se izvodi pod lokalnom anestezijom, dok kod apliciranja non prep ljuskica lokalna anestezija nije potrebna jer se zubi ne bruse.
Zašto odabrati Miličić Dent za zubne ljuskice?
Dugogodišnje iskustvo u području oralne kirurgije, implantologije i stomatološke protetike te tisuću zadovoljnih pacijenata jamče Vam kvalitetu naše usluge. Jednako posvećujemo pažnju kako funkciji tako i estetici. Svjesni smo da je danas estetika osmijeha jedan od imperativa kako u privatnom svijetu tako i u poslovnom okruženju. Želite li brzo i kvalitetno uljepšati svoj osmijeh, provjerite na prvom pregledu jeste li kandidat za zubne ljuskice.
